REGENETEN_TOP.png

         What's REGENETEN?

腱板組織の足場となる、気孔を有する、配向されたコラーゲン繊維シートです。
気孔内に腱板実質部からの 組織が入り込むことにより
腱厚が約2mm 増加し、腱板損傷部位の修復を促進します。

REGENETEN

 REGENETEN インプラントを
滑液包スペースに展開する
テンドンステープルで腱と、
ボーンステープルで骨と固定する
12 週までに腱組織が
インプラントに入り込み1
インプラントは6 ヶ月で吸収され、
腱様組織は既存の腱と一体化する1




         Concept

 

" Advance Healing Solutions "

これまでのバイオメカニカルな修復とともに、
治癒の促進を高める ソリューションAdvanced Healing Solutions を提案します。
topimg

 

 

 

 

 

 

1 中空オープン構造デザイン HEALICOIL アンカー
周囲海綿骨からの血液、骨髄、幹細胞の修復部位へ
の流れを妨げることなく、腱や骨の治癒を高めます。
2 ULTRATAPE
接着面積を75% 増大させることにより、接着圧力を
分散・低下させ、修復部位の血流改善が期待できます。
3 REGENESORB 素材
埋植後6 か月以上にわたり機械的安定性を維持し、
24 か月で吸収され骨に置き換わります。
       
4 REGENETEN
REGENETEN に入り込んだ腱組織は、6 か月で既存の腱と
一体化することで、損傷した腱の修復を促進します。


 

         治癒向上への挑戦

腱板損傷における治癒の向上を目指し、Biological なアプローチで、
エビデンスを持ってそのソリューションを提案します。

 

 

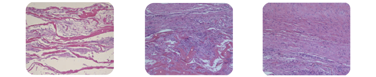
REGENETEN

 5 週でインプラントの間隙内に宿主細胞( 線維芽細 胞) の
存在が認められ、初期のコラーゲン形成が確認出来た。
インプラントの残存ははっきり確認出来る(※)

   3 か月でインプラントへのコラーゲンの
            形成・成熟 ・配向の増加が示された。
コラーゲンインプラントは残存が確認出来る(※)

6 か月で新生組織は腱の組織学的外観を示し、
新生宿主組織の負荷機能を示唆した。
コラーゲンインプラントの残存は無かった 

販売名:REGENETEN インプラント
承認番号:30400BZX00065000
販売名:HEALICOIL RG ノットレスアンカー
承認番号:30200BZX00354000
販売名: HEALICOIL RG スーチャーアンカー ULTRATAPE 付
承認番号: 22700BZX00160000
販売名:HEALICOIL RG スーチャーアンカー
承認番号: 22600BZX00229000
Reference:
1. Arnoczky SP, et al. Arthroscopy. 2017;33(2):278-283

Title

Text